
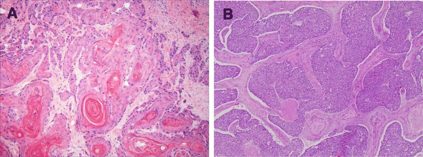
The Role of HPV, Prognostication, Adjuvant Radiotherapy, And High-Risk Patient Staging and Follow-Up in SCC
In a study at the 33rd EADV Congress 2024, on cutaneous squamous cell carcinoma (cSCC), leading experts from across Europe and the United States convened








