
Cognitive Performance in Patients with Chronic Kidney Disease: Results from the CKD-rein Cohort Study
This paper was presented on day 1 of the ERA Congress 2022 on May 19th 2022 by Drs. Marion Pepin, Julie Boucquemont, Monica Turinici from

This paper was presented on day 1 of the ERA Congress 2022 on May 19th 2022 by Drs. Marion Pepin, Julie Boucquemont, Monica Turinici from

This paper was presented on day 1 of the ERA th Congress 2022 on May 19 2022 by Drs. Bilge Tekin Ala, Saime Paydas, Bülent

End stage renal disease (ESRD) is chronic inflammatory condition which affects iron parameters. Serum soluble transferrin receptor (sTfR) is a reliable indicator for assessing iron

Recent studies suggest the possibility of activating immune mechanism in the onset and progression of atherosclerotic disease. The aim of the present study was to

The reliability of haemoglobin A1c (HbA1c) as a glycaemic marker in patients receiving haemodialysis (HD) remains unknown. To assess accuracy, we compared HbA1c and fructosamine

Post-transplant hypercalcemia is common after successful kidney transplantation in patients with chronic kidney disease (CKD) and can be partially explained by the side effects of

IgA nephropathy (IgAN) is the most common primary glomerulonephritis globally and an important cause of chronic kidney disease (CKD). Up to 40% of IgAN patients

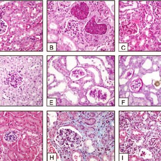
Dapagliflozin is an inhibitor of sodiumdependent glucose transporters 2, which is a new drug for diabetes mellitus. Recent researches indicated that among patients with heart

Chronic kidney disease (CKD) continues to be a growing health concern worldwide, with an estimated global prevalence of 9.1% in 2017. End-stage kidney disease (ESKD)

Sodium-glucose co-transporter 2 (SGLT2) inhibitors, the most recent glucose lowering oral agents, prevent glucose and sodium reabsorption at proximal tubules. These drugs have the potential